Hyderabad
08042782115
+919640252525

LASER FLAP THERAPY IN JUBILEE HILLS.......

update image
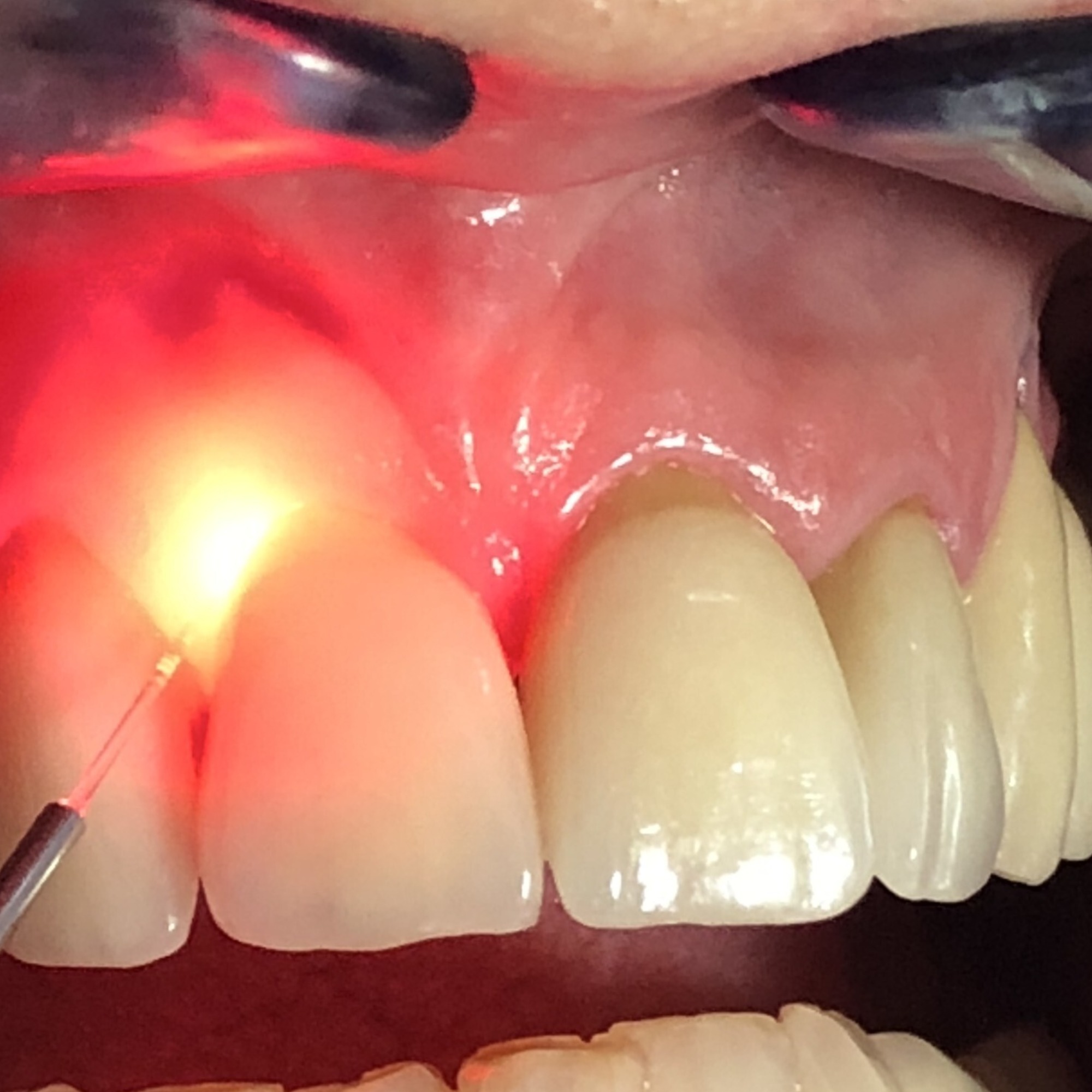
Flap surgery means lifting a portion of the gum (a “flap”) to access the root of the tooth and underlying bone, so that the periodontist can clean out infection, remove diseased tissue, and decontaminate. In laser-assisted flap therapy, a laser is used (instead of — or in addition to — conventional surgical tools) to: Vaporize / remove the infected gum tissue. Kill bacteria in the periodontal pocket with the laser’s antibacterial action. Minimize bleeding (lasers help coagulate / seal blood vessels). Promote faster healing due to less trauma. Advantages / Benefits More minimally invasive: smaller incisions or less cutting compared to traditional flap surgery. Better bleeding control due to laser coagulation. Faster healing and potentially less post-operative discomfort. Higher precision: the laser can target diseased tissue while preserving healthy gum. Possibly fewer stitches, depending on the case. Clinic Location & Overview Roots Dental Care has a branch in Jubilee Hills, at 3rd Floor, Plot 71, Road No. 1 & 9, Jubilee Hills, Hyderabad, Telangana – 500033. This clinic is part of a modern, multi-specialty dental setup. Their team includes a periodontist (gum specialist) who is likely to handle advanced periodontal treatments. Roots Dental Care emphasizes state-of-the-art technology, including laser dentistry.
 2025-11-15T08:32:47

Related Posts

update image

Pediatric Dental Care in Jubilee Hills...

2025-12-01T14:46:48 , update date

 2025-12-01T14:46:48
update image

TISSUE GRAFTING PROCEDURES IN JUBILEE HILLS

2025-11-07T11:29:52 , update date

 2025-11-07T11:29:52
update image

Dental clinic in Jubilee Hills...

2025-11-01T08:45:13 , update date

 2025-11-01T08:45:13

footerhc