Hyderabad
08042782115
+919640252525

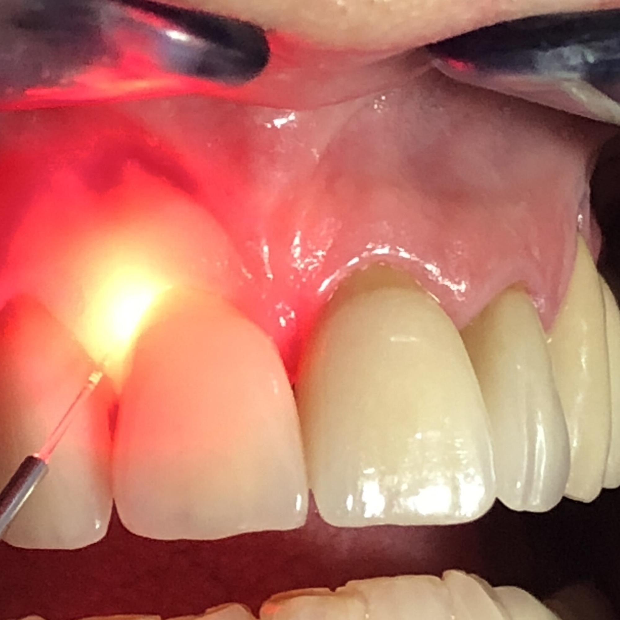
LASER FLAP THERAPY IN HABSIGUDA.......

update image
On its services page, Roots Dental Care lists “Laser Dentistry” as one of its important offerings. rootsdentalcare.com According to their “Important Services” section, they use “state-of-the-art laser treatments” for minimally invasive procedures. rootsdentalcare.com These laser techniques can be applied both to soft tissue surgeries (gums) and potentially for other dental work, improving precision and reducing trauma. rootsdentalcare.com Laser Flap Therapy / Flap Surgery Concept Flap surgery (“flap”) is a periodontal procedure where the gums are lifted (a “flap” is made) to access the root and bone underneath, remove diseased tissue, clean, and then reposition the gum. In laser-assisted flap surgery, a laser is used in place of or in addition to traditional tools. The laser helps to: Remove / vaporize diseased gum tissue. Kill bacteria (laser is bactericidal). Minimize bleeding (laser coagulates). Potentially reduce pain and speed up healing (because of reduced trauma). Location & Clinic Background Roots Dental Care’s Habsiguda branch is at H. No. 4-7-96, 3rd Floor, S M Pride, Lane opposite Metro Pillar No. 975, Scientist Colony, Habsiguda, Hyderabad – 500007. The clinic is a multi-specialty dental center offering advanced dental services — not just general dentistry, but also cosmetic, surgical, periodontal, and laser-based treatments. The director is Dr. Santosh Goud, and the team includes a periodontist, which is relevant for gum / flap surgery.
 2025-11-15T08:30:27

Related Posts

update image

Pediatric Dental Care in Habsiguda...

2025-12-01T14:45:13 , update date

 2025-12-01T14:45:13
update image

TISSUE GRAFTING PROCEDURES IN HABSIGUDA

2025-11-07T11:26:47 , update date

 2025-11-07T11:26:47
update image

Dental clinic in Habsiguda

2025-11-01T08:43:16 , update date

 2025-11-01T08:43:16

footerhc