Hyderabad
08042782115
+919640252525

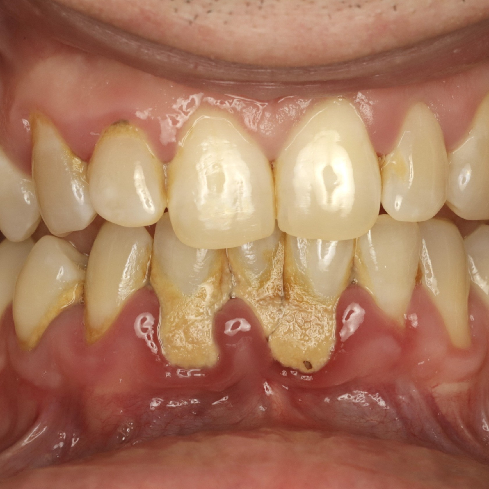
Dental clinic in Jubilee Hills...

Located at the heart of jubilee hills, our clinic blends advanced dental care with a patient-centred approach. As a multi-speciality oral health centre, we offer everything from routine cleanings and check-ups to cosmetic dentistry, orthodontics (including clear aligners), implantology and oral. Our mission is to deliver exceptional quality with comfort and compassion. With decades of experience, a team of highly-qualified specialists, and state-of-the-art technology, we ensure you receive precise, pain-free treatments tailored to your unique needs. Whether you're visiting for a child’s first dental visit, a smile makeover or full-mouth rehabilitation, your smile is our priority. Open daily with flexible hours, our friendly staff make the appointment process seamless, and our modern clinic environment is designed for your comfort. Experience top-tier dental care at roots dental care. where your oral health is in expert hands.
 2025-11-07T11:31:50

Related Posts

update image

Pediatric Dental Care in Tellapur....

2025-12-01T14:48:11 , update date

 2025-12-01T14:48:11
update image

LASER FLAP THERAPY IN TELLAPUR.......

2025-11-15T08:34:53 , update date

 2025-11-15T08:34:53
update image

TISSUE GRAFTING PROCEDURES IN TELLAPUR

2025-11-07T11:31:12 , update date

 2025-11-07T11:31:12

footerhc