Hyderabad
08042782115
+919640252525

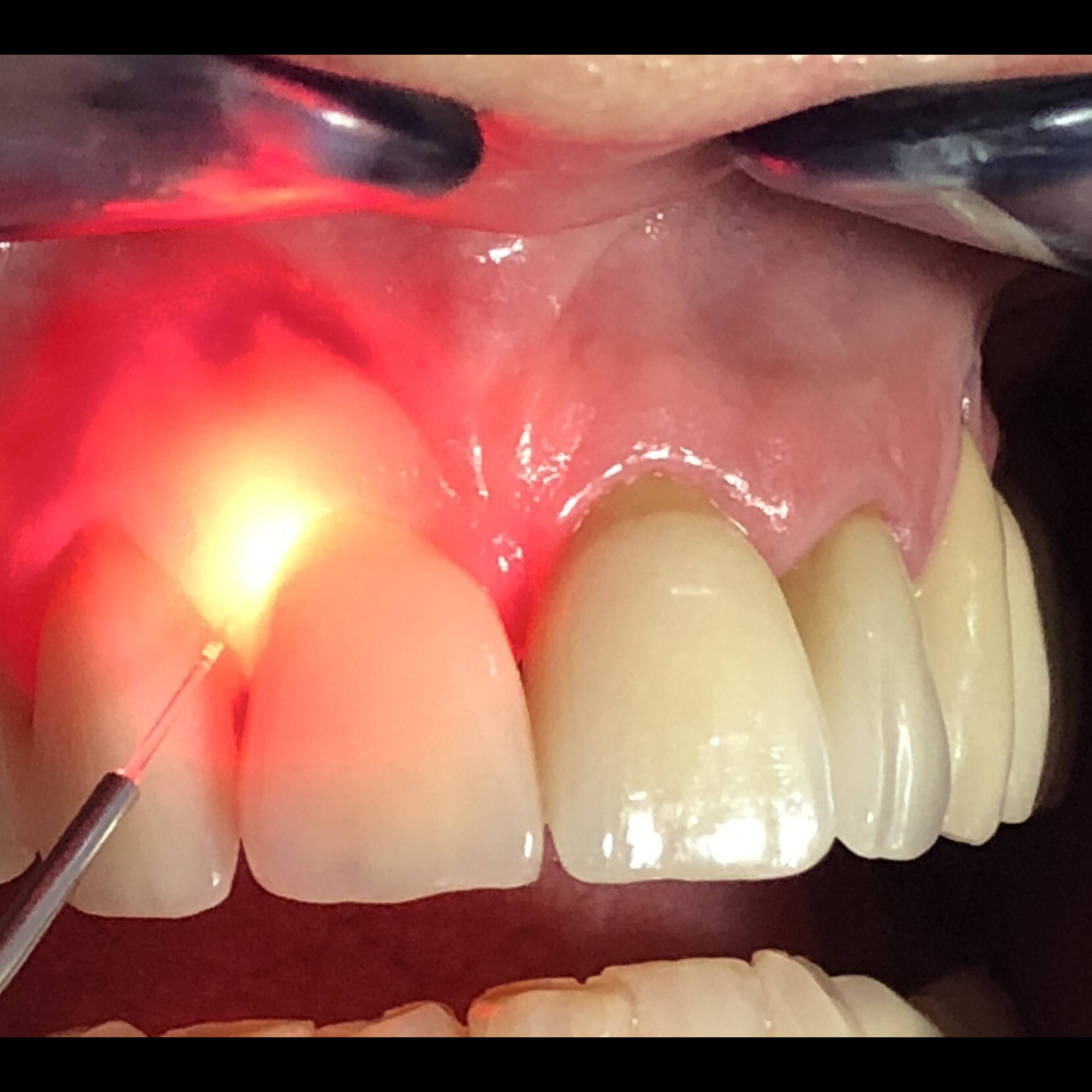
LASER FLAP THERAPY IN TELLAPUR.......

update image
What Is Laser Flap Therapy Flap surgery means lifting a portion of the gum (a “flap”) to access the root of the tooth and underlying bone, so that the periodontist can clean out infection, remove diseased tissue, and decontaminate. In laser-assisted flap therapy, a laser is used (instead of — or in addition to — conventional surgical tools) to: Vaporize / remove the infected gum tissue. Kill bacteria in the periodontal pocket with the laser’s antibacterial action. Minimize bleeding (lasers help coagulate / seal blood vessels). Promote faster healing due to less trauma. Advantages / Benefits More minimally invasive: smaller incisions or less cutting compared to traditional flap surgery. Better bleeding control due to laser coagulation. Faster healing and potentially less post-operative discomfort. Higher precision: the laser can target diseased tissue while preserving healthy gum. Possibly fewer stitches, depending on the case. Clinic Location & Overview Roots Dental Care has a branch in Tellapur, Hyderabad. Address: H.No: 503020, 3rd Floor, Near Raju Gari Bhojanam, Usman Naga, Tellapur – 502306. The clinic is part of Roots’ multi-specialty dental network, offering advanced treatments and a patient-centered approach. The team includes a periodontist, making them capable of handling gum disease and surgical treatments.
 2025-11-15T08:34:53

Related Posts

update image

Pediatric Dental Care in Tellapur....

2025-12-01T14:48:11 , update date

 2025-12-01T14:48:11
update image

Dental clinic in Jubilee Hills...

2025-11-07T11:31:50 , update date

 2025-11-07T11:31:50
update image

TISSUE GRAFTING PROCEDURES IN TELLAPUR

2025-11-07T11:31:12 , update date

 2025-11-07T11:31:12

footerhc